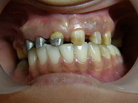
Situatie initiala
Proteza scheletata
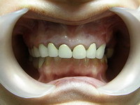
Situatie initiala
Punte din metalo-ceramica
Carii pe molari
Obturatii fizionomice
Obturatii nefizionomice pe
dintii frontali
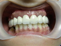
Estetica rezolvata cu coroane din
ceramica pe zirconiu
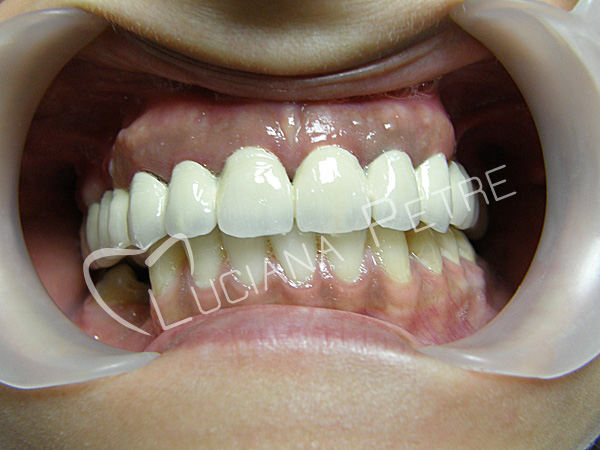
Situatie initiala
Coroane ceramica pe suport zirconiu
©2011 Dr. Luciana Petre. Toate drepturile rezervate.